得了这种病,眼睛就像
- 2024年11月01日

高血压、糖尿病永远都是人们绕不开的话题,尤其是中老年人。话虽如此,但总有一部分人会觉得“哪有什么问题啊”,就不予理会,任由病情在体内“肆虐”,最后就出现问题了就问医生“诶,怎么会这样啊?”
自行停服降压药,病情一拖再拖,结果惹上恶性青光眼?
黄先生(化名)在5月份的一天,突然右眼视力下降了,只能看到眼前10cm处的手指头,持续十来天也没见好转,便来到我院就诊。黄海涛院长通过OCT检查,发现黄先生右眼是视网膜中央静脉阻塞,导致黄斑水肿。

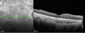
正常OCT图

OCT检查可见明显的黄斑水肿
经了解,黄先生有高血压病史但是自认为控制好了,便不重视、不量血压,自行停药很长一段时间,直至现在眼睛出现问题,才知道自己的血压已经“失控”了,最终导致了眼病的发生。
根据病情需要尽快入院治疗,但由于黄先生的个人原因,又拖到了6月上旬才入院治疗。就在这短短20天左右的时间,病情再一次“进化”,入院当天就出现了眼红、胀痛、眼压高等症状,检查后诊断为“新生血管性青光眼”(也叫恶性青光眼)!
医生提醒:切勿忽视自身健康状况
门诊中常有跟黄先生类似情况的患者出现,他们共同点往往就是健康意识不足。病情早期无症状或轻状的时候得不到重视,等到病情发展得凶猛的时候才来就诊,幸运的话还能挽救一下,否则可能就因此失去视力了。
高血压、糖尿病等慢性病是属于全身性疾病,会损害靶器官,比如眼睛。这些慢性病引发的致盲性眼底病,早发现、早治疗大部分的视力是能够恢复的;但要是病情发展严重,眼底组织严重受损的话,视力下降通常就无法恢复,甚至失明,甚至有些眼疾只有一次抢救的机会。
因此,大家不要轻视或忽视自身的健康问题,养成良好生活习惯,定期测血糖、量血压,定期检查眼睛,做好“早预防、早发现、早诊断、早治疗”四道防线!